Matka těchto dívek rozhodně neočekávala, že vypadají jako její mladší klony. Jsou totožné a při pohledu na své společné fotografie, i přes věkový rozdíl, se mohou mýlit. Narodili se před 11 lety a to, jak vypadají dnes, vás může překvapit. Představujeme úžasnou historii čtyřčat.

Matka čtyř dívek je opravdu šťastná žena. Podle statistik je pravděpodobnost otěhotnění čtyřčaty jen 1 ze 64 milionů. S metodou in vitro je samozřejmě větší šance. Na světě bylo mnoho případů, kdy ženy, aniž by se uchýlily k umělým metodám, otěhotnily se čtyřmi dětmi. Každé z těchto dětí se mohlo těšit ze svých pěti minut slávy, protože lidé vždy projevovali zájem o takový neobvyklý porod.

Když žena zjistila, že v žaludku jsou čtyři děti, nemohla tomu uvěřit. Byla nejšťastnější na světě. Přes mnoho komplikací, jak během těhotenství, tak samotného porodu, všechno skončilo pozitivně.

Jako malé holčičky si mohly užít velkou popularitu, později se o ně uklidnily, ale nedávno se jejich matka chlubila sdílenými fotkami na svém Facebooku. Uživatelé internetu doslova sputili brady. Podobnost všech pěti žen je ohromující. Čtvrtý vypadá jako kůže fotografie od jejich rodičů. Představujeme jejich úžasný příběh a fantastické fotografie.

Obrázek z pikio

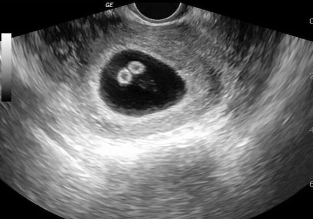
Ultrazvuk

Když bylo během ultrazvukového vyšetření potvrzeno, že žena měla pod srdcem čtyři děti, navrhlo se těhotenství ukončit. Budoucí matka však tuto myšlenku důrazně odmítla.

Obrázek z pikio

Překvapující

Je to překvapivé, ale všechny čtyři byly vytvořeny v jednom směru. Lékaři neposkytli žádné prognózy týkající se narození zdravých dětí.

Obrázek z pikio

Porod

Julia dokázala otěhotnět, ale její dcery se narodily mnohem dříve, než bylo plánováno. Žena byla donucena do císařského řezu.

Obrázek z pikio

Zdraví

Dvě sestry se narodily zcela zdravé a další dvě měly velmi nízkou hmotnost. Všechno však šlo velmi dobře a rychle ho dohonily sestry narozené s normální hmotností.

Obrázek z pikio

Rozdíl

Brzy se všechny dívky skoro nerozeznaly. Dokonce i jejich vlastní matka, která se obávala, že si své dcery pomýlí, a tak napsala jejich jména na nohy. Bez takových označení by sama sama nedokázala rozlišit své děti.

Obrázek z pikio

Hvězdy

S věkem zůstaly dívky stejné. Díky jejich neuvěřitelné podobnosti se z nich staly hvězdy. Ve věku čtyř let inzerovali oblečení. Na oplátku dostali drahé předměty zdarma.

Obrázek z pikio

Sdílené vlastnosti

Matka říká, že dívky mají pouze stejný vzhled, ale jejich charakter a temperament jsou úplně jiné. Myslí si jinak, poslouchají jinou hudbu a dokonce se oblékají ve zcela odlišných stylech.

Obrázek z pikio

Podobnost

S věkem se dívky stále více podobají své matce. Mají stejné světlé vlasy, přirozeně stočené do malých kadeří. Část očí, obočí, úsměvu a struktury těla, to všechno mluví o silné podobnosti dcer s jejich matkou.

Obrázek z pikio

Podívejte se

Navzdory skutečnosti, že pro ženu bylo velmi obtížné vychovat čtyři děti současně a přesto si navzájem podobné, je velmi šťastná. Její dcery jsou již 11 let a zdá se, že Julia není jejich matka vůbec, ale starší sestra. Při pohledu na mou matku není těžké uhodnout, jak budou dívky vypadat ve stáří. Už jsou časy, kdy je těžké říct, která z nich je matka.

Hlavní obrázek z pikio.pl